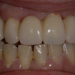
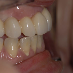
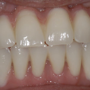
Implante Soportado
Hoy en día la opción de la colocación de implantes es una forma sencilla, poco invasiva y muy eficaz de sustituir dientes perdidos. Existe una gran variedead de diferentes casas de fabricación de implantes y también de diferentes diseños, lo que permite elegir siempre el más indicado para rehabilitar de mejor forma según la situación encontrada.
Topdeca trabaja en las gamas más conocidas y colocadas y ofrece años de experiencia en dar soluciones esteticas de prótesis implantosoportado.
Casos Reales




























